Shape Memory Alloy
for Orthopedic Surgery
NiTi shape memory alloy (SMA) can be used
as biomaterial due to its good biocompatibility,
unique shape memory effect and superelasticity.
Successful applications of NiTi SMA as medical
devices used in dentistry, orthopedics and
radiation in China were introduced. However,
the conventional solid NiTi SMAs can't be
used a s hard tissue replacement implants
as they have a too higher modulus to match
with that of the tissue to be replaced.
By controlling the porosity and pore size,
modulus and yield stress of porous NiTi
SMA can be adjusted to match that of the
hard tissue, such as bone. Also, the cellular
structure allows the ingrowth of bone tissue
and is favorable for the fixation of the
implants and for the transport of body fluids.
Porous N iTi SMA fabricated by self-propagation
high temperature synthesis method was proposed,
and the effect of process parameters, such
as powder size, preheating temperature on
the porosity, pore size and phase composition
was investigated.
 |
|
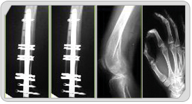
BioFix for bone fracture
Biofix using in Ti-Nickel shape memory
alloy has great potential as a fracture
fixation device in orthopeadic , Neurosurgical
and plastic surgery due to unique thermal
shape memory effects, superelasticity and
high damping properties.
Device Description
The BioFix is a cerclage positioning ring
fabricated from Nitinol Shape Memory Alloy
(SMA), and consists of single or double
rings, and is intended to achieve compression
in fixation of bones in the hand, foot,
and tibia. Nitinol can change is configuration
(shape) based on temperature. At ice-water,
the material is pliant and the rings can
be opened. This allows for easy positioning
around the fracture. After the ring has
reached body temperature, the ring closes
inward to its original shape. This inward
deflection causes ring retention and compression
across the osteomy or arthrodesis site.
By virtual of the Nitinol SMA properties,
this inward closing is kept in place until
removed by the surgeon.
Instructions for Use
The Biofix was prepared by cooling the
TiNi SMA alloy in ice-cold saline. The reduction
in temperature initiated a conversion into
a martensitic phase state. Once cooled,
the fixator was malleable and easy to deform.
The fixator size was determined either preoperatively
from radiological film or intraoperatively
by direct measurement. An appropriately
sized bone fixator was selected and applied
to the reduced fracture site. Immediately
thereafter, warm saline was irrigated over
the TiNi SMA fixator , causing contraction
of the fixator to its original shape. Fastening
of the fracture site was enhanced.
Indications for Use
The BioFix is indicated for general-purpose
orthopedic repairs. This includes such procedures
as long bone fractures, bone grafting, and
reinforcement of bone
|
TiNi shape memory bone stapler
(BRM-SH system) is more effective
and easy in application to some fractures
than cerclage.
This double ring might be more effective
and auxiliary to IM nail system in
spiral fracture to split fracture
occurred during hip stem insertion. |
|